Μεταπηδήστε στο περιεχόμενο

Κύστη Θυρεογλωσσικού Πόρου

Οι κύστη θυρεογλωσσικού πόρου (Thyroglossal duct cysts) αποτελεί τον συχνότερο όγκο της μέσης και πρόσθιας επιφάνειας του τραχήλου. Μπορούν να επηρεάσουν τη λειτουργία της κατάποσης, να επιμολυνθούν και, σε σπάνιες περιπτώσεις, να υποστούν κακοήθη εξαλλαγή.

Η κύστη θυρεογλωσσικού πόρου αποτελεί εμβρυϊκό υπόλειμμα, μια κυστική μάζα που σχηματίζεται από κύτταρα υπεύθυνα για τη δημιουργία του θυρεοειδούς αδένα. Πρόκειται για τη συχνότερη συγγενή ανωμαλία του τραχήλου, η οποία εντοπίζεται συνήθως στο επίπεδο του υοειδούς οστού, πάνω από το άνω τμήμα του θυρεοειδικού χόνδρου (γνωστό ως “Μήλο του Αδάμ”). Αν και συνήθως εμφανίζονται στην παιδική ηλικία, οι κύστεις θυρεογλωσσικού πόρου μπορεί να παραμείνουν ασυμπτωματικές και να εκδηλωθούν αργότερα στη εφηβική ή ενηλικη ζωή.

 

Συμπτώματα

  • Αρχικά παρουσιάζεται ως ανώδυνη διόγκωση στο πρόσθιο τμήμα του τραχήλου.

  • Σε περίπτωση λοίμωξης του ανώτερου αναπνευστικού, η κύστη μπορεί να γίνει επώδυνη.

  • Συνοδά συμπτώματα: έντονος πόνος, ερυθρότητα, ευαισθησία στην περιοχή, δυσκολία στην κατάποση.

  • Όταν επιμολυνθεί από μικρόβια, διογκώνεται και απαιτείται χειρουργική αντιμετώπιση.

 

Διάγνωση

Η διάγνωση βασίζεται σε:

  • Κλινική εξέταση και ψηλάφηση της κύστης.

  • Υπερηχογράφημα τραχήλου.

  • Αξονική ή μαγνητική τομογραφία για ακριβέστερη απεικόνιση.

  • Σε σπάνιες περιπτώσεις υποψίας κακοήθειας ή αμφιβολίας, πραγματοποιείται βιοψία με λεπτή βελόνα (FNA), καθοδηγούμενη από υπερηχογράφημα.

 

Αντιμετώπιση

  • Σε φλεγμονώδη φάση: χορήγηση αντιβιοτικών.

  • Οριστική θεραπεία: χειρουργική εκτομή της κύστης.

  • Για την πρόληψη υποτροπής, αφαιρείται μαζί με την κύστη και το κεντρικό τμήμα του υοειδούς οστού που βρίσκεται σε επαφή με αυτή.

 

Χειρουργική Τεχνική Εκτομής

  • Η επέμβαση πραγματοποιείται με μικρή οριζόντια τομή σε πτυχή του δέρματος.

  • Ακολουθεί παρασκευή των μυών μπροστά από τον θυρεοειδικό χόνδρο και εντοπισμός της κύστης.

  • Αν η κύστη συνδέεται με τον πυραμοειδή λοβό του θυρεοειδούς, αφαιρείται μαζί με αυτόν.

  • Παρασκευάζεται το υοειδές οστό δεξιά και αριστερά και αφαιρείται το κεντρικό τμήμα του μαζί με την κύστη.

  • Διάρκεια επέμβασης: 40–60 λεπτά.

 

Μετεγχειρητική Πορεία

  • Ο ασθενής παραμένει για παρακολούθηση λιγότερο από 24 ώρες στο νοσοκομείο.

  • Χορηγούνται αντιβιοτικά φάρμακα.

  • Μετά από περίπου μία εβδομάδα αφαιρούνται τα ράμματα.

  • Ο ασθενής μπορεί να επιστρέψει στις καθημερινές δραστηριότητες του.

 

Πιθανές Επιπλοκές

Η επέμβαση θεωρείται ιδιαίτερα ασφαλής.

  • Μοναδικός σημαντικός κίνδυνος: υποτροπή, εάν δεν αφαιρεθεί το κεντρικό τμήμα του υοειδούς οστού.

Γεώργιος Ψυχογιός

Ωτορινολαρυγγολόγος,  Χειρουργός Κεφαλής και Τραχήλου καθηγητής ΩΡΛ Πανεπιστημιακής Κλινικής Ιωαννίνων

Επικοινωνία

: 26510-72130

: orl.pgnioannina@gmail.com

Μπορεί μια κύστη Θυρεογλωσσικού Πόρου να είναι κακοηθής?

Η κακοήθης εξαλλαγή σε κύστεις θυρεογλωσσικού πόρου είναι εξαιρετικά σπάνια, με συχνότητα μικρότερη του 1%. Η επέκταση ή κατάληψη του προεπιγλωττιδικού χώρου από τέτοιες κύστεις αποτελεί ακόμη πιο σπάνιο εύρημα. Η συνύπαρξη θηλώδους καρκινώματος θυρεοειδούς μέσα σε κύστη θυρεογλωσσικού πόρου είναι εξαιρετικά σπάνια, με αναφερόμενη επίπτωση πολύ μικρότερη του 1%. Για τη διάγνωση απαιτείται υπερηχογραφικά κατευθυνόμενη FNA. 

Βιβλιογραφια:

Yao S, Tian L, Zhang L. Malignant transformation of a thyroglossal duct cyst located in the preepiglottic space: A case report and literature review. J Stomatol Oral Maxillofac Surg. 2025 Oct 9;127(2):102611. 

Shahid F, et al; Thyroglossal duct cyst carcinoma: A case report about diagnostic and surgical challenges. Oral Oncol. 2026 Feb 13;175:107890. doi: 10.1016/j.oraloncology.2026.107890. Epub ahead of print. PMID: 41690060.

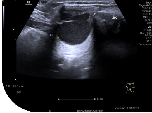
Κεφαλουραία απεικόνιση κύστης θυρεογλωσσικού ανάμεσα στο υοειδές οστό και το άνω τμήμα του θυρεοειδή χόνδρου.
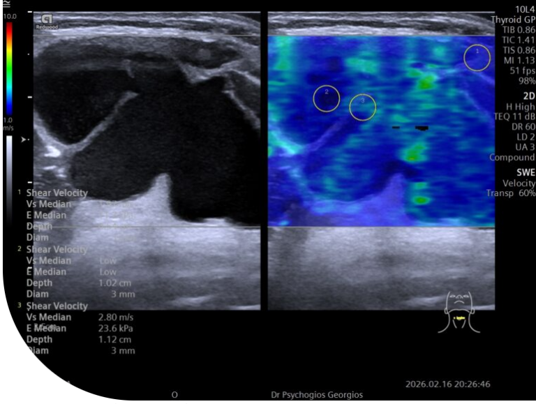
Ελαστογραφική υπερηχογραφική απεικόνιση κύστης θυρεογλωσσικού πόρου με εσωτερικά διαφράγματα.
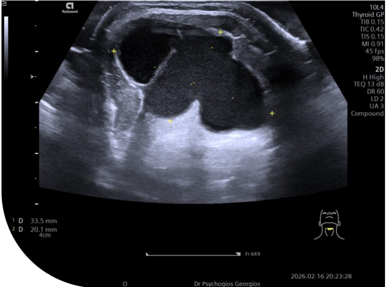
Εγκάρσια υπερηχογραφική απεικόνιση ευμεγέθους κύστης θυρεογλωσσικού πόρου

Ο καθηγητής κ. Γεώργιος Ψυχογιός  είναι εξειδικευμένος Χειρουργός Τραχήλου με πολύ μεγάλη εμπειρία στη Χειρουργική των όγκων του τραχήλου, του Θυρεοειδούς (θυρεοειδεκτομή), των Παραθυρεοειδών αδένων και των σιελογόνων αδένων.

Last updated: February, 2026.